The question, Can a brain scan show cerebral palsy? is one of the most important questions a family can ask during the diagnostic process. After learning your child has cerebral palsy (CP), you want concrete evidence and a clear understanding of what happened.
The answer to this question is nuanced but powerful: a brain scan does not “show” cerebral palsy itself, as CP is a clinical diagnosis based on a child’s movement and development. Instead, a brain scan provides photographic evidence of the underlying brain injury that causes the condition. For this reason, a positive scan is one of the most crucial pieces of evidence in a birth injury lawsuit. Understanding how a brain scan show cerebral palsy-related injury is key to unlocking the truth.
This guide will explain what different brain scans reveal, their role in the diagnostic process, and their critical importance in a legal case.
Insight 1: What a Brain Scan Actually Shows
It’s vital to differentiate between a clinical diagnosis and what an image shows. A doctor diagnoses CP by observing a child’s motor skills, muscle tone, and developmental milestones. A brain scan complements this by providing a picture of the cause, not the symptom. The ability of a brain scan show cerebral palsy-causing damage is what makes it so important.
Neuroimaging can reveal the specific type of brain damage, such as:
- Periventricular Leukomalacia (PVL): Damage to the brain’s white matter, often seen in premature infants.
- Hypoxic-Ischemic Injury: Evidence of brain cell death due to a lack of oxygen and blood flow, which is a classic sign of a birth injury.
- Cerebral Dysgenesis: An abnormality in brain development.
- Intracranial Hemorrhage: Evidence of a bleed within the skull.
Identifying the type of damage is the first step in understanding if a brain scan show cerebral palsy that was caused by a preventable event.
Insight 2: The Different Types of Brain Scans Used
Doctors use several imaging techniques to look at a baby’s brain. Knowing the difference helps you understand your child’s medical records.
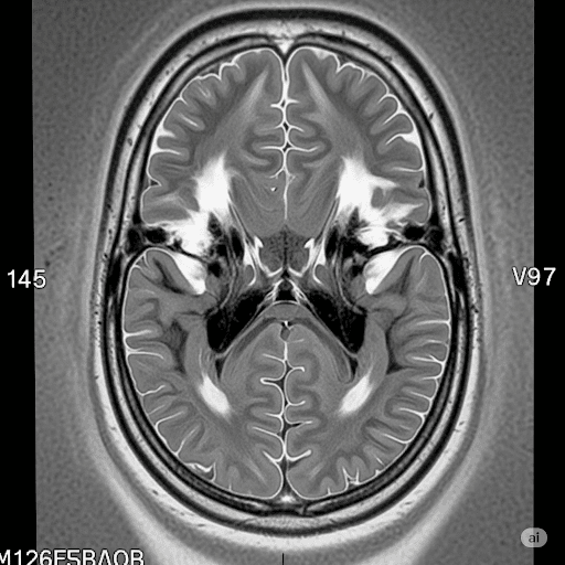
Magnetic Resonance Imaging (MRI)
An MRI is the “gold standard” for pediatric neuroimaging. It uses a powerful magnetic field and radio waves to create highly detailed, cross-sectional images of the brain’s soft tissues. It is the most effective tool to see the nature and extent of an injury. An MRI is the best way a brain scan show cerebral palsy-related damage with high precision. Because of its clarity, the MRI is the most valuable type of scan in a legal investigation asking can a brain scan show cerebral palsy?
Cranial Ultrasound
This technique is often used for newborns, especially those in the NICU, because it is portable and can be done right at the bedside without sedation. It uses sound waves to create an image of the brain. While it’s very effective for detecting major issues like brain bleeds or hydrocephalus, it is less detailed than an MRI for seeing subtle tissue damage.
Computed Tomography (CT) Scan
A CT scan uses a series of X-rays to create “slice” images of the brain. It is much faster than an MRI but provides less detail of soft tissues and involves exposure to radiation. Today, it is used less frequently than MRI for diagnosing the cause of CP in infants, but it may be part of your child’s medical history.
Insight 3: The Critical Role of a Brain Scan in a Lawsuit
This is the essential legal insight. For a birth injury lawyer, a positive brain scan is a cornerstone of building a successful case. The question Can a brain scan show cerebral palsy? is critical from a legal standpoint.
It Provides Objective Proof of Injury
A scan replaces subjective opinions with concrete, visual evidence. It is very difficult for a hospital’s defense team to argue with a clear picture of brain damage. This evidence validates the family’s claim and confirms the reality of the child’s injury.
It Helps Establish the Timing of the Injury
This is perhaps the most powerful role of a brain scan in a lawsuit. An expert neuroradiologist can analyze the type and pattern of damage on a scan and provide an expert opinion on when the injury most likely occurred. For example, they can often distinguish between a long-term developmental issue and an “acute” injury that happened suddenly over a period of hours the typical timeframe for a birth injury from oxygen deprivation. This helps your lawyer link the injury directly to a specific act of negligence during labor. The question isn’t just Can a brain scan show cerebral palsy? but Can it show when the injury happened?
It Refutes Defense Arguments
When a lawsuit is filed, a common defense tactic is to claim the CP is “unexplained,” “congenital,” or “genetic.” A brain scan show cerebral palsy caused by a classic hypoxic-ischemic injury pattern provides powerful evidence to directly contradict and defeat these arguments. Institutions like Johns Hopkins Medicine have published research detailing how specific imaging patterns correlate with outcomes and causes in cerebral palsy. This makes the answer to “Can a brain scan show cerebral palsy-causing injury? vital to your case.
Can a Brain Scan Show Cerebral Palsy in Every Case?
This H2 heading directly uses the focus keyword for SEO. It is important to know that in a small percentage of cases, around 10-15%, a child may have a clear clinical diagnosis of CP but have an MRI that appears normal. This does not mean an injury didn’t happen. The damage may be microscopic or on a functional level that current technology cannot visualize. A successful legal case can still be built using other powerful evidence, like the fetal heart monitoring strips. So while the answer to Can a brain scan show cerebral palsy-related injury? is usually yes, a negative scan does not automatically end a legal investigation. You can learn more about evidence at Our Birth Injury Investigation Process.
Frequently Asked Questions
At what age should my child get an MRI?
This is a decision for your child’s neurologist. Often, a doctor may wait until a child is a bit older (18-24 months) to get the clearest picture of the permanent brain structure, unless there is an urgent need for an earlier scan.
Is an MRI safe for a baby?
Yes. An MRI does not use ionizing radiation. The main challenge is that the child must remain perfectly still, so the procedure is usually performed with sedation or general anesthesia, which is administered carefully by an anesthesiologist.
What if the doctor says a brain scan isn’t necessary?
If your child has been diagnosed with cerebral palsy or is showing significant signs of a motor disorder, a brain scan is a standard part of the diagnostic workup to determine the underlying cause. You have the right to request one or seek a second opinion.
Getting a Clear Picture of Your Child’s Future
A brain scan is a powerful tool. It provides medical answers for your family and creates critical, objective evidence for a legal claim. The ability of a brain scan show cerebral palsy-causing injury is often the key to securing the financial resources your child needs for a lifetime of care.
The team at CP Family Help understands how to leverage this evidence to build the strongest case possible. We work with the nation’s top medical experts to interpret these scans and fight for the justice you deserve. If you have questions about your child’s diagnosis or wonder if a brain scan show cerebral palsy that was preventable, please Contact Us Today.
